Kapan Harus ke Dokter Gigi? Tanda-Tanda Gigi Kamu Butuh Perawatan Segera
Kapan Harus ke Dokter Gigi? Tanda-Tanda Gigi Kamu Butuh Perawatan…

matters expert dental care.Pengalaman terbaik sebagai dental care yang fokus membantu senyummu lebih indah dan sehat. Percayakan kepada kami agar senyummu lebih cerah dan sehat di masa depan.
+62 812-2321-8988
Mon to Sat 9:00AM to 9:00PM
iCare Dental bertujuan menyediakan dental care yang friendly, care pada masalah pasien, dan spesialist dengan keahliannya
Founder and Specialist Con

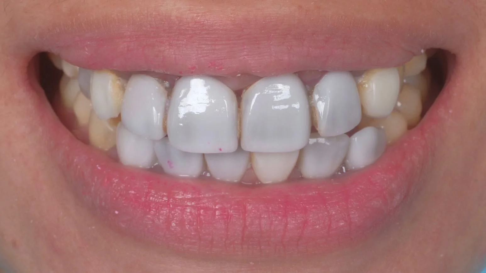
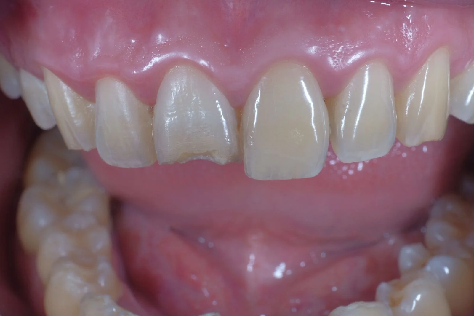
Transform your smile seamlessly with advanced cosmetic procedures tailored by trained dentists for stunning, natural-looking results

Achieve a perfectly aligned smile effortlessly with Invisalign virtually invisible, removable aligners designed for comfort and convenience, backed by iCare’s globally trusted digital dentistry standards
Kami terdiri dari dokter spesialis pada bidangnya yang tersedia
Bersama para dokter spesialis di bidangnya, didukung dengan fasilitas dan modern
Barang dan bahan yang terus dipelihara optimalisasi atas semua kasus kompleks pasien
iCare dental menyediakan perawatan gigi dan mulut yang berfokus pada bidang estetik dan didukung teknologi terkini juga alat-alat yang modern
Didukung dengan teknologi terkini & alat-alat yang modern
Kami peduli pada kualitas dan hasil akhir sehingga kepuasan pasien yang paling utama
Para dokter kami siap dengan kemampuan profesional terbaik di bidangnya demi kenyamanan pasien
Yes, we accept most major dental insurance plans. Please contact us to verify your coverage.
Yes, we accept most major dental insurance plans. Please contact us to verify your coverage.
Yes, we accept most major dental insurance plans. Please contact us to verify your coverage.
Akhirnya ke klinik gigi iCare Dental Bandung setelah di rekomendasiin temen. First impression langsung suka karena banget semuanya. Mulai dari hospitality staffnya, tempatnya nyaman, fasilitasnya lengkap, dan yg terbaik adalah dokternya yang super sabar dan ramah. Dokter Arnold Kyoto yang telaten membantu perawatan gigi saya. Gak ada dokter galak yg bikin trauma ke dokter gigi huhu... Pokonya iCare Dental pilihan tepat buat yang mulai sadar jaga kesehatan dan pengen perawatan gigi di Bandung. Best 😭👍
Baru pertama kali ke iCare Dental dan ternyata pelayanannya ramah juga cepat. Tempatnya bersih dan dokternya selain ramah juga sabar menjelaskan masalah gigi. Pasti datang lagi ke sini karena puas banget.
Kunjungan pertama kali ke I Care Dental Bandung, dan langsung ditangani oleh drg. Dhea. Jujur, pengalaman pertamanya bikin nyaman. Tempatnya bersih, rapi, dan suasananya nggak bikin tegang. Drg. Dhea jelasin kondisi gigi saya dengan jelas, nggak menggurui tapi tetap informatif. Selama tindakan juga dijelaskan pelan-pelan, jadi saya tahu apa yang sedang dikerjakan. Kesan pertama yang sangat positif, insyaAllah bakal lanjut kontrol di sini lagi.


icare dental akan membantu anda secepatnya terkait layanan, prosedur, dan patient care.
We take care of your smile
+62 812-2321-8988
iCare melayani semua kasus terkait gigi dan mulut
Yes, we accept most major dental insurance plans. Please contact us to verify your coverage.
Yes, we accept most major dental insurance plans. Please contact us to verify your coverage.
Yes, we accept most major dental insurance plans. Please contact us to verify your coverage.
Yes, we accept most major dental insurance plans. Please contact us to verify your coverage.
Kapan Harus ke Dokter Gigi? Tanda-Tanda Gigi Kamu Butuh Perawatan…
Kenapa Senyum Rapi Itu Penting Pernahkah kamu menatap foto lama…
Ready to take the next step! Caranya mudah, pilih waktu dan tanggal yang cocok, berikan informasi dasar bagi kami, dan kami akan menghubungi anda selanjutnya.
We always take care of your smile
+62 812-2321-8988
Lengkapi form dibawah untuk permintaan kunjungan ke dental. Kami akan konfirmasi waktu dan ketersediaannya.
iCare Dental hadir sebagai solusi dalam memahami masalah pada gigi dan mulut anda.
Copyright © 2024 All Rights Reserved.
Hubungi Kami